منتدي q8-one.com

منتدي q8-one.com (http://www.q8-one.com/vb/index.php)
-   إعـلانات بيـع وشــراء متفـرقة (http://www.q8-one.com/vb/forumdisplay.php?f=91)
-   -   استئصال كليه متكيسه كبيره (http://www.q8-one.com/vb/showthread.php?t=90888)

تامر بحر الثلاثين 2018-06-18 03:04 PM

استئصال كليه متكيسه كبيره
 


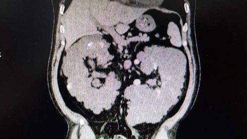
استئصال كليه متكيسه كبيره في المستشفي السعودي الألماني بالرياض

https://i.suar.me/zpj2L/l

تمكن الفريق الطبي بقسم المسالك البولية بالمستشفى السعودي الألماني بالرياض من استئصال الكليه اليسري متعدده الأكياس بحجم يتجاوز ٣٠ سنتيمتر.
و كان المريض صاحب ال٤٨ عام يعاني من الآلام شديده في البطن مع ارتفاع بدرجه الحراره.

و باجرا الفحوصات تبين وجود أكياس متعدده ممتلئة بالصديد و التجمعات الدموية، و تم استئصال الكليه اليسري بنجاح علما بأن المريض كان يقوم باجراء الغسيل الكلوي المستمر.
وتم خروج المريض بصحه و عافيه بعد إجراء الجراحة




أبو سهم 2018-06-18 03:05 PM

شكراً جزيلاً موضوع مميز نتمنى منك المزيد عزيزي تامر بحر الثلاثين...

ننتظر جديدكم


الساعة الآن 08:34 AM.

Powered by vBulletin® Version 3.8.12 by vBS
Copyright ©2000 - 2025, Jelsoft Enterprises Ltd. TranZ By World 4Arab
www.q8-one.com